目次
いつから始めたらいいんだろう?

当院でもこのように悩みを抱えながら来院される方が非常に多く思います。
・乳歯がもうすでにガタガタしている(2〜3歳ごろ)
・永久歯が生えてきたときに気になってきた(6〜7歳ごろ)
・犬歯が八重歯のように生えてきた(9〜10歳ごろ)
など、成長の時々に歯並びが気になるタイミングがやってきます。
気になったら面倒でも一度歯医者さんに相談してみてください
上記のうちでも、9〜10歳ごろに気になって矯正を検討する場合に
多くの場合は歯を抜いてスペースを作り矯正治療を行う方法(抜歯矯正)になることが多いです。
しかし、それよりも前に相談に来てもらうことができれば
歯を抜かずに矯正を行うことができるかもしれません。
抜歯矯正を行う場合、上下左右の歯を一本ずつ合計で4本の歯を抜くことが一般的です。
永久歯の数は親知らずを入れなければ合計で28本。
矯正治療を行うために4/28本、すなわち1/7の歯を失うことになります。
歯並びを整えるために仕方がないとはいえ、健康な歯を抜くことになります。
回避できるのであればぜひ回避したいところですよね。

実際の症例を通して考える
症例:7歳の女の子。
他院に定期的にメインテナンスに通っていて、下の前歯が大きく内側から生えてきました。
そこの先生に相談してみると
「このまま様子をみましょう」
と言われたとのことでした。そして不安になり当院に相談に来られました。
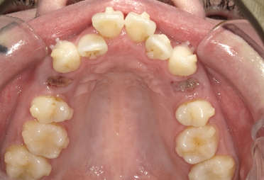
その時の状態がこちらです。

この状態で「様子を見ましょう」と言われた時のお母さんの気持ちは計り知れません。
不安に思われるのも当然だと思います。
当院では「すぐに矯正治療を開始しましょう」とお伝えしました。
当院での矯正治療
当院ではお子さんの顎の成長とお口周りの機能を正常に整えて歯並びを改善させる小児矯正治療を行っています。
マイオブレースというマウスピースとアクティビティというトレーニングを行って治療するものになります。


なぜ歯並びが悪くなっているのか?
あごの成長を妨げている原因はなんなのか?
これらを考えて診断を行い治療を進めます。
当院では矯正治療に限らず常に現状に至った原因に目を向けて、その原因を取り除くことで今後再発しないようにと考えながら治療にあたっています。
治療経過(治療開始から約1年)
初診時から治療を開始して約一年までの経過を比較してみます。

初診時から「様子を見ましょう」の指示に従い何もしなかった場合、将来的に確実に抜歯しての矯正が必要になっていたのではないかと考えられます。
お母さんが心配になって他でも話を聞いてみようを思ってくれたおかげで、このお子さんは一年後にはほぼキレイに歯が並んできました。
この子は今後も追加で治療が必要になる可能性はありますが、抜歯しての矯正は回避できたのではないかと考えています。
まとめ
そもそも矯正治療は保険が効かず高額な治療になります。そのため
「とりあえず様子を見たほうが、、、」
「ひょっとしたら治ってくれるかも、、、」
と問題に対して本腰を入れにくいことも事実です。
それでも、少しでも違和感を感じたときに行動していただくことで
お子さんの将来をより良いものにできる可能性があります。
少しでも気になることがあれば、ぜひいちど歯医者さんに相談してみてください。
治療内容詳細
小児矯正治療
費用:34万円(月に一回の調整料:4500円)
期間:2〜3年(目安)
適応年齢:5〜10歳(目安)
メリット:抜歯矯正を回避できる可能性がある
歯並びを悪くする原因を除去し、正常な機能を獲得できる
デメリット:保険が効かないため費用が高額
治療後に成人矯正治療が別途必要になる可能性がある
指示に従わない場合に治療の成果が全く出ないことがある
監修者情報

経歴
- 2003年 私立淳心学院高等学校卒業
- 2011年 北海道大学歯学部卒業 北海道大学歯学部第一補綴科にて研修を行う
- 2012年 大阪府下の義歯に特化した自費診療専門の医院で勤務
- 2013年 大阪府下 医療法人 副院長就任
- 2014年 同医療法人 分院長就任
- 2024年 くろおかファミリー歯科 開業





