インプラント治療とは
インプラント治療は顎の骨にチタン製のインプラント(人工歯根)を埋め込みその上にセラミック製の歯を装着する治療法です。
天然歯のようにしっかり噛むことができ、自然で美しい見た目を取り戻すことができます。
歯を失った本数に関わらず幅広い症例に対応可能です。
インプラント治療には十分な骨量が必要になるため、骨が足りない場合には人工的に骨のボリュームを増やす処置が必要になる場合があります。
ソケットリフトとは
ソケットリフトとは上顎の奥歯のインプラントを行う際に十分な骨量が確保できない場合に副鼻腔に対して人工の骨を使用して骨量を増やす処置のことです。
ソケットリフトの場合はインプラントを埋入する穴から骨量を垂直的に増やします



サイナスリフトとは
ソケットリフトと比較して増やしたい骨量が大きくなる場合に副鼻腔の横から大きく穴を開けて骨量を増やす処置のことを言います。



グラフトレスソケットリフトとは?
骨量を増やすために上記2つの治療法がありますが、人工骨を用いて治療を行った場合に感染を起こしてしまうととても大変なことになる場合があります。
そのため最近の治療方法として、人工骨を用いずにもともとある骨のみを使用してインプラントを行う方法が出てきました。
それが「グラフトレスソケットリフト」です。
「グラフト=移植、レス=ない」要するに人工骨を移植しないソケットリフトです。


副鼻腔には厚さ約0.3~0.5mmのシュナイダー膜という薄い膜が存在します。(上図の紫の部分)
上の右図のようにインプラントを入れるための穴からシュナイダー膜を破かないように持ち上げて空間を作ります。


そして持ち上げたシュナイダー膜が垂れてこないようにインプラントを用いてテント上に維持させることでそのスペースに骨ができてきます。
これがグラフトレスソケットリフトの原理です。
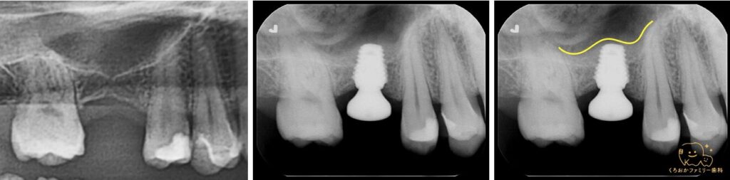
実際の症例

右上奥歯の欠損に対してインプラントを計画しました。
骨量は垂直的に約3mmとかなり薄くなっています。
本来であれば人工骨を移植してのソケットリフトが適応になる症例ですが、今回はグラフトレスでのソケットリフトを計画しました。

シュナイダー膜を挙上し、骨に穴を開ける際の削片をそのまま持ち上がった空間に入れることで骨ができたかのように見えています。
約3mmという薄い骨に対してもしっかりと固定を取るように埋入できたため一回法での処置が可能となりました。
まとめ
くろおかファミリー歯科ではインプラント治療も頻繁に行っています。
インプラント治療は骨量によって難易度が大きく異なり、骨量が少ない場合には大掛かりな処置がひつ方になる場合があります。
その中でも当院は極力患者さんの負担を軽減しながらも長期的に安定した結果が得られるように、常に技術と知識をアップデートさせています。
インプラント治療でお困りの方もぜひ一度くろおかファミリー歯科にご相談ください。
治療内容詳細
グラフトレスソケットリフトを併用したインプラント治療
費用:インプラントオペ+上部構造代 45万円(税別)
期間:2〜3ヶ月
メリット:人工骨の移植が必要なく、術後感染が起こった場合でも大掛かりな処置を必要としない
治療期間を短縮することができる
デメリット:保険が効かないため費用が高額
固定が取れない場合は2回処置が必要になる場合がある
監修者情報

経歴
- 2003年 私立淳心学院高等学校卒業
- 2011年 北海道大学歯学部卒業 北海道大学歯学部第一補綴科にて研修を行う
- 2012年 大阪府下の義歯に特化した自費診療専門の医院で勤務
- 2013年 大阪府下 医療法人 副院長就任
- 2014年 同医療法人 分院長就任
- 2024年 くろおかファミリー歯科 開業





