
「歯が痛い=虫歯」と思っていませんか?
実は、歯の痛みにはさまざまな原因があります。
原因によっては、放置すると歯を失うリスクにつながることもあります。
今回は、歯が痛くなる主な原因と、歯科医院を受診する目安について分かりやすく解説します。
⸻
歯の痛みの原因は虫歯だけではありません
歯の痛みは、主に以下のような原因で起こります。
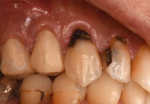
■虫歯
歯が溶けて神経に近づくことで痛みが出ます。
進行すると何もしていなくても痛みが出るようになります。

■知覚過敏
冷たい物や甘い物でしみる症状が特徴です。
歯の表面が削れたり、歯ぐきが下がることで起こります。

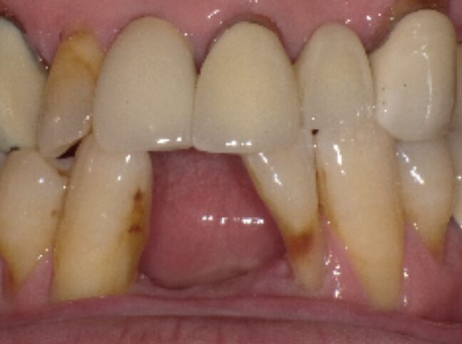
■歯周病
歯ぐきや歯を支える骨に炎症が起こる病気です。
噛んだ時の痛みとして感じることがあります。

■食いしばり・歯ぎしり
歯や顎に強い負担がかかり、痛みが出ることがあります。
就寝中に無意識で起こることが多いのが特徴です。
⸻
■副鼻腔炎
上の奥歯が痛む場合、副鼻腔の炎症が原因のこともあります。
⸻
痛み方で分かる危険サイン
✔冷たい物だけでしみる
知覚過敏の可能性があります。
✔噛むと痛い
歯のヒビや歯周病が疑われます。
✔何もしていなくてもズキズキ痛む
神経に炎症が起きている可能性があります。
早めの受診が必要です。
⸻
痛みを放置するとどうなる?
・虫歯が神経まで進行する
・歯を抜かなければならなくなる
・治療期間や費用が増える
など、大がかりな治療になる可能性が高くなります。
⸻
歯科医院を受診する目安
次のような症状がある場合は、早めの受診をおすすめします。
✔痛みが数日続く
✔噛むと痛い
✔冷たい物が強くしみる
✔歯が浮いた感じがする
⸻
まとめ
歯の痛みにはさまざまな原因があります。
「そのうち治るかな」と放置せず、早めに原因を調べることが歯を守ることにつながります。
⸻
👉 次回は
「歯ぐきからのSOSサイン」について解説します。
監修者情報

経歴
- 2003年 私立淳心学院高等学校卒業
- 2011年 北海道大学歯学部卒業 北海道大学歯学部第一補綴科にて研修を行う
- 2012年 大阪府下の義歯に特化した自費診療専門の医院で勤務
- 2013年 大阪府下 医療法人 副院長就任
- 2014年 同医療法人 分院長就任
- 2024年 くろおかファミリー歯科 開業





